Blogroll

Homem engole moeda por acidente após 'brincadeira' de amigos


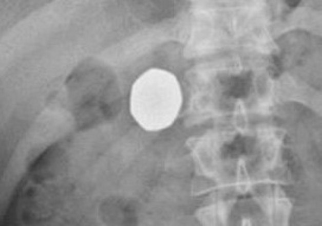
Um britânico de 29 anos, que não foi identificado, engoliu duas moedas, após uma "brincadeira" de seus amigos. O homem vomitou uma peça imediatamente, mas a outra, maior, ficou presa e precisou de acompanhamento médico. As informações são do tabloide britânico Daily Mail

*Estagiário do R7, com supervisão de Filipe Siqueira

Os amigos do rapaz colocaram as moedas em sua cerveja sem que ele percebesse, como uma pegadinha

Ele se forçou a vomitar quando percebeu o que tinha acontecido e conseguiu se livrar da moeda menor, com valor de 20 centavos de libra

Ele decidiu visitar um médico ao não conseguir regurgitar a moeda maior, de 2,5 cm e valor de 50 centavos de libras

Leia também: Homem ganha R$ 230 mil por passar 20 dias trancado em banheiro

Um exame de raio x revelou que a moeda estava mesmo presa no corpo do rapaz

Os médicos pediram para que ele voltasse em uma semana e meia se ainda não tivesse conseguido se livrar do objeto. E foi exatamente o que aconteceu

Vale o clique! Fisiculturista 'para de comer' e bebe a própria urina todos os dias

Em novos exames, foi detectado que as moedas ainda estavam no estomago do rapaz. Para piorar, elas haviam passado pela mucosa gástrica, algo que os médicos nunca haviam visto anteriormente

Mesmo assim, o rapaz decidiu esperar para que a moeda seja evacuada naturalmente de seu corpo. Médicos alertaram que os riscos de uma cirurgia seriam maiores do que danos potencialmente causados pela moeda

Já essa cobra engoliu esse sapo de forma nada acidental. Ela perseguiu e prendeu o anfíbio, provando o quanto a natureza pode ser brutal. Confira mais sobre essa história a seguir!

A natureza pode ser bastante brutal. É o que mostram essas imagens de uma cobra perseguindo, prendendo e engolindo um sapo vivo. O anfíbio tentou lutar pela vida, mas seus esforços foram em vão e ele se tornou mais uma estatística da cadeia alimentar

Os registros do ataque foram publicados pela página do Facebook Snake TV, criada por e para fãs de cobras e serpentes

Veja mais: Homem queima o rosto e olhos após ovo explodir em micro-ondas

Podemos ver o réptil prender a perna traseira esquerda do sapo

O anfíbio tenta escapar de qualquer forma

Leia aqui: Homem é atacado por elefante após tentativa falha de hipnose

Ele se debate, mas não consegue se livrar da mandíbula do peçonhento animal 

O sapo tenta utilizar a força de suas pernas

Leia também: Homem entra em lanchonete com cadáver de guaxinim e não vai preso

E pular para longe da boca da cobra, em uma fuga completamente improvável

Mas a fuga seria realmente improvável e o sapo continua preso em seu pesadelo

Não perca! Serpente é encontrada em piscina tentando afogar carrapatos

A cobra venceu a batalha

E o sapo parece ter percebido isso

Vale o clique: Homem é detido em alfândega com quatro gatos dentro da calça

Ele desiste de lutar e se entrega, enquanto a cobra consegue abocanhar sua outra perna traseira

Agora a questão é apenas tempo

Veja mais: Bêbado erra de casa e dorme na cama do cachorro (com o cachorro)

E a técnica que a cobra utilizará para devorar o animal

Ela brinca com o anfíbio, que já não demonstra nenhuma resistência

Veja aqui: Homem é preso ao tentar assaltar loja de conveniência com banana

E começa a engolir de vez o animal, que olha fixamente para frente 

Suas patas dianteiras ainda parecem demonstrar alguma resistência

Leia mais: Mulher vence cão após ataque e acaba mordida pela dona do animal

Como se unhassem o chão, tentando impedir seu destino final

Mas já é tarde. A cobra suga os últimos vestígios do animal como se fossem espaguete

Veja também! Ciclope! Vaca mutante de um olho só vira celebridade na Índia

Vejam a satisfação da cobra em terminar sua refeição

Não existe sadismo por parte do réptil, esse é o mundo animal e são assim que as coisas funcionam

Não perca: Chinesa compra filhote de cachorro e descobre que ele era raposa

Alimentada, a cobra vai embora, reafirmando seu lugar na cadeia alimentar

Continue aqui! Ratos gigantes aterrorizam vizinhança e assustam até gatos

Comentários
0 Comentários

Nenhum comentário :

Postar um comentário

 

Parceiros

Blogger news

Copyright © . Principe Troll |